挽回牙齿最好的方法,挽救牙齿的最佳方案

挽回牙齿最好的方法,挽救牙齿的最佳方案 1.牙齿健康的重要性 牙齿是每个人重要的器官之一,它能帮我们咀嚼食物、发音、塑造容貌等。平时我们要注重保护好自己的牙齿,因为如果牙齿遭受了破坏,治疗将会非常麻烦。不...

挽回牙齿最好的方法,挽救牙齿的最佳方案

1.牙齿健康的重要性

挽回牙齿最好的方法,挽救牙齿的最佳方案

牙齿是每个人重要的器官之一,它能帮我们咀嚼食物、发音、塑造容貌等。平时我们要注重保护好自己的牙齿,因为如果牙齿遭受了破坏,治疗将会非常麻烦。不仅仅是口腔卫生问题,而且身体其他器官的健康也和牙齿健康有一定的关联,所以挽救牙齿的方法非常的必要。

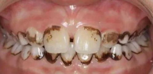
2.牙齿疾病的常见表现

如果我们的饮食过于甜腻或是口腔卫生习惯不佳就会引发牙齿疾病,初期阶段表现为牙菌斑、龋齿、牙周炎等。如果发现自己牙齿有以下表现就可以去看牙医了。

牙齿变黄变黑、发炎、感觉松动;

刷牙时出血,牙龈红肿;

咬合力减小,咬合不正常,造成不适感;

口臭或出现其他口腔异味。

3.挽回牙齿的最佳方法

如果我们已经发现牙齿出现问题,那么接下来该怎么做呢?如果我们想要挽回牙齿,保持口腔健康,可以采用以下方法。

挽回牙齿最好的方法,挽救牙齿的最佳方案

改善口腔卫生习惯,每天刷牙、漱口、喝水清洗口腔;

控制糖分摄入,少吃甜食、饮料等;

去看牙医,及时治疗口腔问题,如果需要做牙齿修复,最好选择适合自己的治疗方案,避免造成二次伤害。

4.预防牙齿疾病的方法

预防胜于治疗,预防牙齿疾病也非常重要,以下是几个预防牙齿疾病的方法。

定期洗牙,去除牙石、牙菌斑等;

坚持每天清洁牙齿;

进食时细嚼慢咽,慢慢咀嚼食物;

少吃甜食、柿子、饮料等,坚持饮用纯净水。

牙齿是我们的重要器官,不仅仅是我们的口腔健康,而且还和身体其他器官的健康有关。所以我们要注重保护和预防,坚持健康的生活方式,才能让我们的牙齿健康、美白。

关键词:牙齿健康,牙齿疾病,挽回牙齿,口腔卫生

本文来自投稿,不代表挽留网立场,如若转载,请注明出处:https://www.66wl.cc/qgwl/107803.html

阅读 5
上一篇 2023-11-23
下一篇 2023-11-04

相关推荐

  • 广西法事挽回,广西丧事寻回

    广西法事挽回,广西丧事寻回 1.介绍 广西是一个民族特色浓郁的地方,这里的传统文化深入人心。在这里,每一个法事和丧事都是值得大家重视的。而对于失去亲人的人们来说,如何度过这个难关一直是他们最为关心的问题。今...

    2023-11-04
    7
  • 从失败中学习:挽回女友的经验分享

    失败并不是终结,挽回女友需要从失败中学习,下面分享一些成功的经验。 挽回女友是许多男性都曾经历过的事情,有时候我们会因为冲动或者其他原因而失去了心爱的女友,但是并不是无法再次挽回。从失败中学习,经验教训...

    2023-11-04
    2
  • 梦到前任发挽回消息,重获前任芳心,梦中挽回成功

    1.梦中挽回前任 每个人都有自己的前任,有些是美好的回忆,有些则是让人无法忘怀的遗憾。我也不例外,虽然已经与前任分手多年,但每当想起那段时光,我的内心总是会泛起涟漪。一天晚上,我做了一个奇怪的梦,梦到了前...

    2023-11-04
    13
  • 妻子恨我入骨怎么挽回,如何挽回妻子的心?

    1.妻子对你的恨意 妻子恨你入骨意味着她对你已经失去了信任和对感情的期待,这是一个非常严重的情况,需要认真处理和解决。换句话说,你的行为已经严重影响了你们之间的感情,逐渐失去妻子的信任,让她认为你是一个不...

    2023-11-04
    9
  • 文科生挽留女生的文案搞笑

    亲爱的女生,我知道你正在努力准备未来的路,但我希望你能留在我的身边,我们一起创造更多的回忆。 通过幽默搞笑的文案,向女生表达出我的真诚和渴望她留下来的愿望,希望能够引起她的共鸣。 我知道你现在面临着选择...

    2023-11-04
    1
  • 巨蟹腻了还能挽回吗,巨蟹座恋情危机,如何挽救?

    巨蟹腻了还能挽回吗? 恋情危机是每个恋爱者都会经历的一个过程,而对于巨蟹座的人来说,他们对爱情抱有非常独特的理解和感受,当遇到恋情危机时,他们往往会变得非常敏感和脆弱。那么,为了挽救恋情,巨蟹座应该如何...

    2023-11-04
    7
  • 怎么挽回社会影响(救赎与尝试:某公司努力重建声誉)

    背景介绍 近年来,某公司因为某些事件导致社会舆论负面的看待,公司的品牌形象受到了极大的损伤,甚至有人呼吁抵制该公司的产品。为了重建公司声誉和树立品牌形象,该公司开始了一系列的救赎和尝试。 救赎措施一:道...

    2023-11-04
    11
  • 无法挽留又无可奈何的句子

    在生活中,我们常常会遇到一些无法挽留又无可奈何的事情。这些事情可能是人与人之间的关系破裂,也可能是错过了某个重要的机会,又或者是付出了很多努力却没有得到想要的结果。面对这些情况,我们往往感到无力和沮丧...

    2023-11-04
    3
  • 对方排斥挽回难吗,挽回难度大:面对排斥情况

    1.排斥挽回:难得不是挽回,而是挽回的方法 当我们面对失去爱人的情况时,内心的焦虑和不安会让我们不顾一切地想要挽回过去的感情。但是,有些时候,我们的前爱人却已经对我们产生了排斥,这时候,想要挽回就变得异常...

    2023-11-04
    4
  • 冷静期过后怎么挽回情人

    冷静期的重要性 当两个人在一段感情中出现了争吵或矛盾时,通常会出现冷战或分手的情况。为了解决矛盾,有时候会需要一定的冷静期来让双方冷静下来,这是重要的。冷静期可以让双方了解自己的问题,并找到解决问题的方...

    2023-11-04
    21
  • 重生女追男挽回男主,重生女主逆袭,挽回心爱男神

    一、重生女追男挽回男主 女追男,难度可谓不小。但如果这个女子重生了,她能否更加容易地追回自己的男神呢?在这个反转命运的时代里,越来越多的人开始相信,幸福和未来是可以自己创造出来的。 二、重生女主逆袭 重生...

    2023-11-04
    11
  • 白羊女挽回前男友,如何让白羊座女生挽回前任男友?

    引言 挽回前男友是许多女孩都会经历的事情,尤其是白羊座女生,她们的爱情热情似火,但也更容易受到情感波动的影响。那么,该如何才能让白羊女成功挽回前男友呢?本文将为大家分享一些有效的方法。 分析情况 首先,...

    2023-11-04
    9

发表评论

登录后才能评论

评论列表(128条)

  • 挽留网

    2024-05-08~暂无数据~

欢迎来到挽留网