补牙能挽回蛀牙吗,补牙还能补回蛀牙吗?——可否挽救蛀牙的情况

蛀牙能否被挽救? 蛀牙是一种常见的口腔疾病,如果不及时治疗,会严重影响牙齿的健康和美观。那么,补牙是否能够挽回蛀牙的情况呢? 蛀牙的形成 蛀牙是由牙菌斑中的细菌发酵产生的酸所致,酸可以侵蚀牙釉质,进而侵...

蛀牙能否被挽救?

蛀牙是一种常见的口腔疾病,如果不及时治疗,会严重影响牙齿的健康和美观。那么,补牙是否能够挽回蛀牙的情况呢?

蛀牙的形成

补牙能挽回蛀牙吗,补牙还能补回蛀牙吗?——可否挽救蛀牙的情况

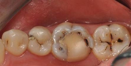
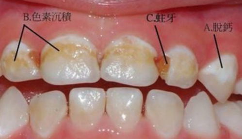
蛀牙是由牙菌斑中的细菌发酵产生的酸所致,酸可以侵蚀牙釉质,进而侵入牙本质,形成蛀洞。糖类食物经过细菌作用、酸性物质的腐蚀,直接影响牙齿,导致蛀牙的形成。蛀牙的发展过程是缓慢的,多次积累才会产生比较严重的病情。

补牙是有效的治疗方式

补牙能挽回蛀牙吗,补牙还能补回蛀牙吗?——可否挽救蛀牙的情况

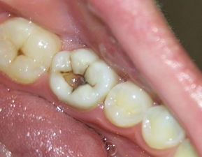
补牙是一种常见的牙齿修补方法,可以补强牙齿并且预防蛀牙继续侵蚀,起到了很好的保护作用。补牙时先将蛀牙部分慢慢地凿掉,然后填上一种人工材料来修复牙齿。如果没有得到及时的治疗,蛀牙会越来越深,形成的空隙也会放大,造成牙齿的疼痛。

补牙能挽回蛀牙吗,补牙还能补回蛀牙吗?——可否挽救蛀牙的情况 补牙能挽回蛀牙吗,补牙还能补回蛀牙吗?——可否挽救蛀牙的情况

补牙后如何保养牙齿

治疗完蛀牙后,平时口腔护理相关问题也需要注意。饮食上避免过于甜腻、易沉积的食品,避免煎炸、冷热交替等对牙齿造成不必要的伤害。此外,定期去牙科检查,及时补牙、洁齿等都是非常重要的。

结论

补牙能挽回蛀牙吗,补牙还能补回蛀牙吗?——可否挽救蛀牙的情况

补牙是很好的维护牙齿的方式,可以帮助挽回蛀牙的情况。但是,最重要的还是平时要注意口腔卫生,预防蛀牙的发生。

核心关键词:补牙、蛀牙、口腔卫生

本文来自投稿,不代表挽留网立场,如若转载,请注明出处:https://www.66wl.cc/qgwl/55974.html

阅读 7
上一篇 2023-11-13
下一篇 2023-11-30

相关推荐

  • 挽回变心前任文案句子,如何成功挽回变心的前任?

    请你以挽回变心前任文案句子,如何成功挽回变心的前任? 1.寻找问题所在,改正错误 第一步,要认真反思自己以前的所作所为,找出导致变心的原因。要想挽回前任,首先要弄清楚自己的问题所在,不然这个挽回行动就会一失...

    2023-11-30
    5
  • 高mv低pu挽回,提升PU值成功挽回,走高MV低PU路线!

    1.什么是MV和PU值 MV和PU值是网络红人、博主和自媒体的重要指标。MV指的是点击量,是指网页、视频、广告等在互联网上被用户点击的次数;PU值则是指人气值,是指博主或自媒体账号在特定时间内的关注度、粉丝互动以及传...

    2023-11-30
    12
  • 以退为进挽回女友,重新追求女友的有效方式

    如何以退为进挽回女友? 分手是一件很痛苦的事情,让人心力憔悴。但是,如果你真的想挽回女友,就必须面对这个问题,找到有效的方式重新追求女友。 第一步:冷静分析,找到分手的原因 首先,你需要了解分手的原因。这...

    2023-11-30
    9
  • 等待属于你的爱情——宜昌女孩的思考

    等待属于你的爱情——宜昌女孩的思考 爱情是每个人内心深处梦寐以求的东西,它承载了人们内心对幸福生活的憧憬和渴望。作为一名宜昌女孩,我也深深地感受到了爱情的重要性。在个人经历中,我感悟到了许多关于爱情的原...

    2023-11-30
    3
  • 深夜挽回朋友圈,深夜救援朋友圈:如何正确应对好友痛哭流涕?

    1.深夜挽回朋友圈:如何正确应对好友痛哭流涕? 朋友圈作为现代社交网络,已成为人们在日常交流中越来越重要的一种方式。但是,随着人们的生活压力增大以及种种不顺,有些情况下朋友圈中出现的不是晒晒生活的美好,...

    2023-11-30
    9
  • 重新吸引她:挽回前女友的捷径

    挽回前女友的捷径——如何重新吸引她 在寻求挽回前女友的方法时,重建吸引力是至关重要的。在这篇文章中,我们将讨论一些有效的方法来重新吸引前女友,并提供实用建议和技巧。 首先,需要反思分手的原因,并找出造成...

    2023-11-30
    2
  • 如何在顺势而为的情况下挽回前女友?

    挽回前女友需要在顺势而为的情况下进行,主要包括自我反省、适时的行动和真诚的沟通。首先应该深入思考导致分手的原因,然后寻找合适的时间点和方式重新接触前女友,最终通过真诚的表达和行动来获得她的原谅和重新挽...

    2023-11-30
    2
  • 狮子女分手还能挽回,如何挽回分手的狮子女

    1.理解狮子女 狮子女是一个性格强烈、个性独立的人,她们喜欢掌控一切。在爱情上,她们也有着占有欲和控制欲,希望自己的伴侣能够完全被自己掌控。然而,这种性格也常常让她们难以与其他人相处,尤其是在分手后,狮...

    2023-11-30
    8
  • 尬聊之后如何挽回,如何挽回尬聊后的局面?

    引言 尬聊是很常见的情况,即使是和好朋友也会出现这种情况。一般而言,我们很难在这种无聊的情况下找到话题,导致尬聊的情况更加尴尬。不过,这个时候不要灰心丧气,所以本文将会介绍一些解决方法,以挽回尬聊后的局...

    2023-11-30
    7
  • 情感挽回咨询速挽爱(情感挽回咨询速挽爱情的话)

    情感挽回咨询速挽爱是一种可以帮助恋人挽回感情的有效咨询服务,它可以帮助恋人改善沟通技巧,恢复信任,拉近彼此之间的距离,重建恋爱关系。本文详细介绍了情感挽回咨询速挽爱的原理、效果、方法等内容,以便读者能...

    2023-11-30
    12
  • 挽留网名·

    最终网络名是人们在互联网上留下的一个印记,是个人品牌的一部分。挽留网名对于个人品牌的建设至关重要,需要选择一个有利于个人形象塑造和网络推广的网名。要提高网名的知名度和吸引力,可以通过优化个人网站,提升...

    2023-11-30
    2
  • 选择原谅:挽回前女友的重要心态

    原谅对于挽回前女友来说是至关重要的心态,只有真诚地寻求原谅,才能重建受伤的关系。挽回前女友需要心态上的转变,以及坚定的决心和努力。在这篇文章中,我们将探讨如何选择原谅,以及挽回前女友的重要心态。 首先,...

    2023-11-30
    2

发表评论

登录后才能评论

评论列表(128条)

  • 挽留网

    2024-05-09~暂无数据~

欢迎来到挽留网